Our Annapolis Dental Treatment Results
Smile Restoration Procedure
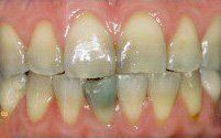
Patient needed multiple restorations, decay removed from upper teeth, crowns placed from canine to canine. Patient Missing 1st lower molar, implant and crown placed, chewing function restored. 2nd molar cracked, causing severe pain, nerve removed from tooth with root canal therapy






















